[post_page_title]Gradually getting worse[/post_page_title]
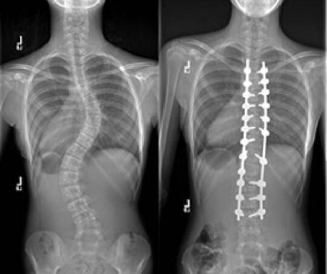
The curve in Lily’s spine didn’t go away when she first discovered it at the age of 12. Her spine continued to worsen, and the curve became more and more noticeable.

Lily even found excuses not to go to physical education lessons, to avoid undressing in front of friends who might notice she was a little different. Perhaps hoping it would just go away, Lily was doing her best to hide the condition from anyone. After her mother spotted how curved in her spine was something had to change.

The greatest NBA dynasties of all time
The goal for any basketball franchise is to build a dynasty that fans and experts will be talking about for










